Răng hô là tình trạng sai lệch khớp cắn khá phổ biến trong nha khoa. Để khắc phục vấn đề này, nhiều người tìm ...
>> Xem ngayRăng hô là tình trạng sai lệch khớp cắn khá phổ biến trong nha khoa. Để khắc phục vấn đề này, nhiều người tìm ...
>> Xem ngay
Bọc răng sứ là phương pháp cần mài chỉnh răng thật để điều chỉnh dáng răng và tạo độ bám dính cho mão sứ. Thông ...
>> Xem ngayBọc răng sứ là phương pháp cần mài chỉnh răng thật để điều chỉnh dáng răng và tạo độ bám dính cho mão sứ. Thông ...
>> Xem ngayBọc răng sứ là giải pháp phục hình răng thẩm mỹ được nhiều người ưa chuộng hiện nay để mang lại sự tự tin, ...
>> Xem ngayBọc răng sứ là giải pháp phục hình răng thẩm mỹ được nhiều người ưa chuộng hiện nay để mang lại sự tự tin, ...
>> Xem ngay
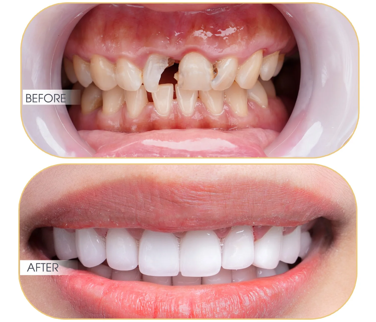
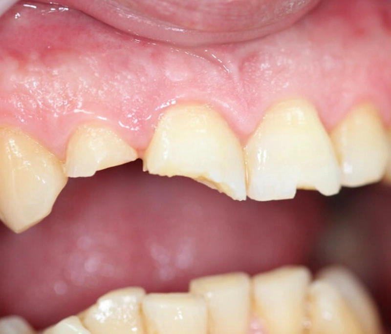
Gãy răng chỉ còn chân răng bọc răng sứ được không là vấn đề mà nhiều khách hàng quan tâm, bởi tình trạng này gây ...
>> Xem ngayGãy răng chỉ còn chân răng bọc răng sứ được không là vấn đề mà nhiều khách hàng quan tâm, bởi tình trạng này gây ...
>> Xem ngay
Tình trạng hai răng cửa bị hô gây ảnh hưởng không nhỏ đến thẩm mỹ khuôn mặt và sự tự tin trong giao tiếp. Nhiều ...
>> Xem ngayTình trạng hai răng cửa bị hô gây ảnh hưởng không nhỏ đến thẩm mỹ khuôn mặt và sự tự tin trong giao tiếp. Nhiều ...
>> Xem ngay
Răng cửa đóng vai trò quan trọng trong thẩm mỹ tổng thể của khuôn mặt, giúp bạn tự tin hơn trong giao tiếp và cuộc ...
>> Xem ngayRăng cửa đóng vai trò quan trọng trong thẩm mỹ tổng thể của khuôn mặt, giúp bạn tự tin hơn trong giao tiếp và cuộc ...
>> Xem ngayMột nụ cười thiết kế chuẩn nhân tướng không chỉ khiến gương mặt trẻ trung, mà còn đem đến may mắn và những điều viên mãn, phú quý về sau.
Một nụ cười thiết kế chuẩn nhân tướng không chỉ khiến gương mặt trẻ trung, mà còn đem đến may mắn và những điều viên mãn, phú quý về sau.
X