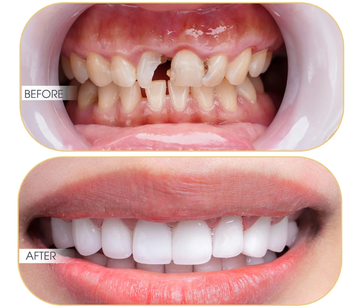
Bọc răng sứ là một phương pháp điều trị phổ biến trong ngành nha khoa để cải thiện hình dáng và màu sắc của răng. ...
>> Xem ngayBọc răng sứ là một phương pháp điều trị phổ biến trong ngành nha khoa để cải thiện hình dáng và màu sắc của răng. ...
>> Xem ngay
Răng sứ kim loại từng là sự lựa chọn quen thuộc của rất nhiều khách hàng khi có nhu cầu bọc răng sứ bởi chi phí ...
>> Xem ngayRăng sứ kim loại từng là sự lựa chọn quen thuộc của rất nhiều khách hàng khi có nhu cầu bọc răng sứ bởi chi phí ...
>> Xem ngay
Bọc răng sứ hàm trên ảnh hưởng rất nhiều đến thẩm mỹ, sự tự tin của người dùng khi giao tiếp khi quyết định ...
>> Xem ngayBọc răng sứ hàm trên ảnh hưởng rất nhiều đến thẩm mỹ, sự tự tin của người dùng khi giao tiếp khi quyết định ...
>> Xem ngay
Bọc răng sứ hàm dưới là giải pháp được nhiều người lựa chọn để cải thiện hình dáng, màu sắc răng theo như ...
>> Xem ngayBọc răng sứ hàm dưới là giải pháp được nhiều người lựa chọn để cải thiện hình dáng, màu sắc răng theo như ...
>> Xem ngay
Bao nhiêu tuổi thì bọc răng sứ được? Đây là câu hỏi mà nha khoa Dentos nhận được từ rất nhiều khách hàng là phụ ...
>> Xem ngayBao nhiêu tuổi thì bọc răng sứ được? Đây là câu hỏi mà nha khoa Dentos nhận được từ rất nhiều khách hàng là phụ ...
>> Xem ngay
Hành trình mang thai là giai đoạn vô cùng quan trọng và nhạy cảm, do đó, sức khoẻ của mẹ và bé luôn được đặt lên ...
>> Xem ngayHành trình mang thai là giai đoạn vô cùng quan trọng và nhạy cảm, do đó, sức khoẻ của mẹ và bé luôn được đặt lên ...
>> Xem ngayMột nụ cười thiết kế chuẩn nhân tướng không chỉ khiến gương mặt trẻ trung, mà còn đem đến may mắn và những điều viên mãn, phú quý về sau.
Một nụ cười thiết kế chuẩn nhân tướng không chỉ khiến gương mặt trẻ trung, mà còn đem đến may mắn và những điều viên mãn, phú quý về sau.
X