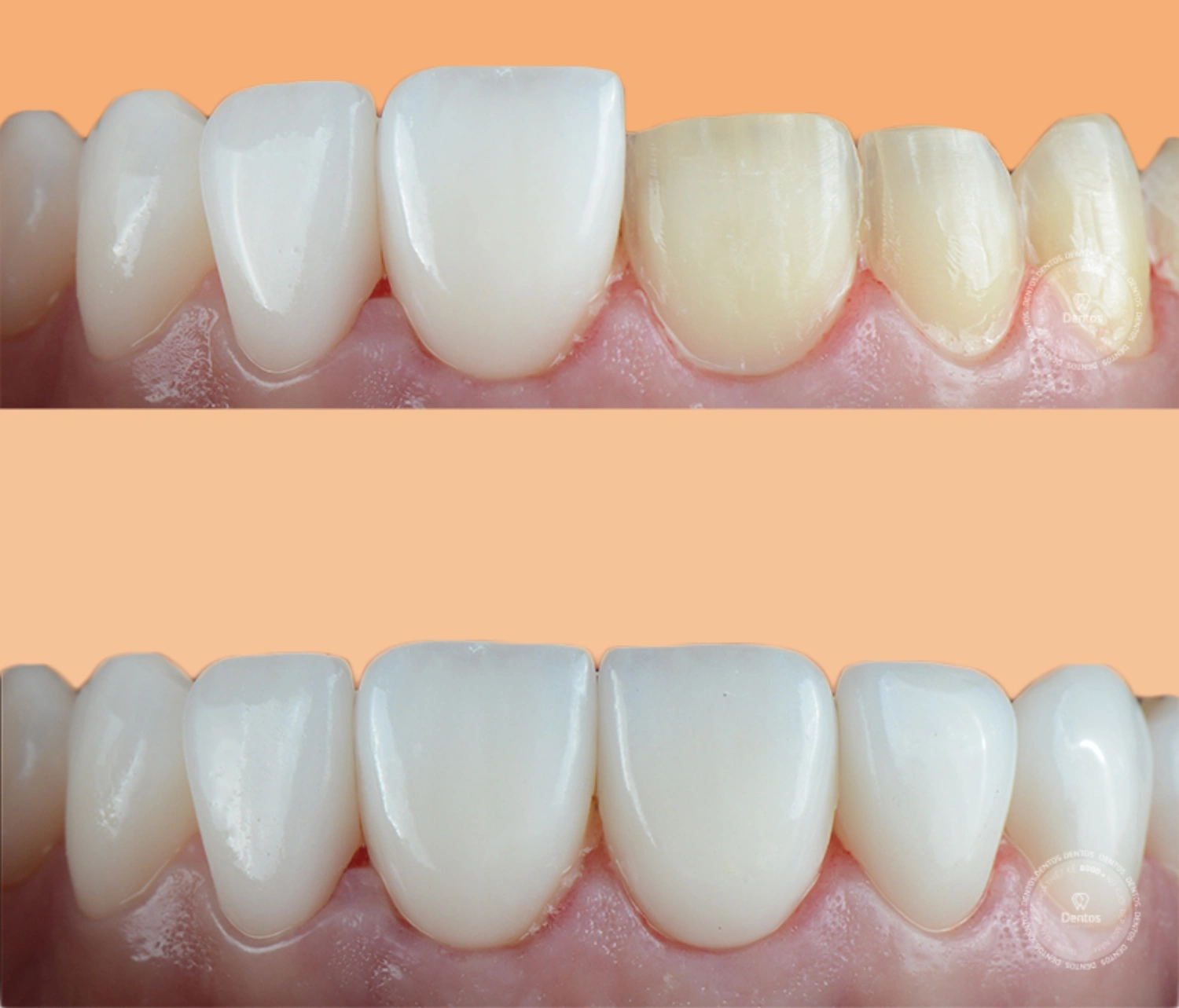
Dán sứ Veneer là phương pháp phục hình răng thẩm mỹ và cải thiện chức năng ăn nhai hiệu quả, nhưng không gây xâm lấn ...
>> Xem ngayDán sứ Veneer là phương pháp phục hình răng thẩm mỹ và cải thiện chức năng ăn nhai hiệu quả, nhưng không gây xâm lấn ...
>> Xem ngay
Kỹ thuật bọc răng sứ là quá trình phức tạp đòi hỏi đội ngũ nha sĩ có chuyên môn cao, chất liệu sứ chính hãng và ...
>> Xem ngayKỹ thuật bọc răng sứ là quá trình phức tạp đòi hỏi đội ngũ nha sĩ có chuyên môn cao, chất liệu sứ chính hãng và ...
>> Xem ngay
Bọc răng sứ và trồng răng sứ là hai phương pháp phổ biến được sử dụng để cải thiện thẩm mỹ và chức năng nhai ...
>> Xem ngayBọc răng sứ và trồng răng sứ là hai phương pháp phổ biến được sử dụng để cải thiện thẩm mỹ và chức năng nhai ...
>> Xem ngay
Dán sứ Veneer hiện đang là lựa chọn phổ biến của nhiều khách hàng nhằm khôi phục tính thẩm mỹ cho các trường hợp ...
>> Xem ngayDán sứ Veneer hiện đang là lựa chọn phổ biến của nhiều khách hàng nhằm khôi phục tính thẩm mỹ cho các trường hợp ...
>> Xem ngay
Răng sứ titan và răng toàn sứ là 2 loại răng sứ được nhiều khách hàng quan tâm hiện nay. Giữa chúng có những đặc ...
>> Xem ngayRăng sứ titan và răng toàn sứ là 2 loại răng sứ được nhiều khách hàng quan tâm hiện nay. Giữa chúng có những đặc ...
>> Xem ngay
Bọc răng sứ là một phương pháp phục hình răng hiệu quả để cải thiện vẻ ngoại hình và chức năng của răng. Việc ...
>> Xem ngayBọc răng sứ là một phương pháp phục hình răng hiệu quả để cải thiện vẻ ngoại hình và chức năng của răng. Việc ...
>> Xem ngayMột nụ cười thiết kế chuẩn nhân tướng không chỉ khiến gương mặt trẻ trung, mà còn đem đến may mắn và những điều viên mãn, phú quý về sau.
Một nụ cười thiết kế chuẩn nhân tướng không chỉ khiến gương mặt trẻ trung, mà còn đem đến may mắn và những điều viên mãn, phú quý về sau.
X