Bọc răng sứ là giải pháp giúp khắc phục các vấn đề liên quan đến hình dáng, màu sắc và chức năng của răng. Sau khi ...
>> Xem ngayBọc răng sứ là giải pháp giúp khắc phục các vấn đề liên quan đến hình dáng, màu sắc và chức năng của răng. Sau khi ...
>> Xem ngay
Răng sứ Zirconia được nhiều khách hàng yêu thích không chỉ bởi vẻ đẹp tự nhiên và khả năng chịu lực tốt, mà còn ...
>> Xem ngayRăng sứ Zirconia được nhiều khách hàng yêu thích không chỉ bởi vẻ đẹp tự nhiên và khả năng chịu lực tốt, mà còn ...
>> Xem ngay
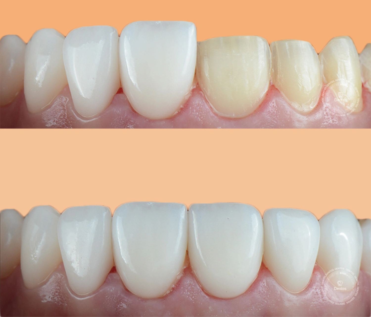
Dán sứ Veneer là kỹ thuật phục hình răng tiên tiến được nhiều người ưa chuộng, giúp cải thiện tính thẩm mỹ cho ...
>> Xem ngayDán sứ Veneer là kỹ thuật phục hình răng tiên tiến được nhiều người ưa chuộng, giúp cải thiện tính thẩm mỹ cho ...
>> Xem ngay
Nhiều người chia sẻ làm răng sứ bị đau khi nhai trong một khoảng thời gian dài và gây ra rất nhiều khó khăn trong quá ...
>> Xem ngayNhiều người chia sẻ làm răng sứ bị đau khi nhai trong một khoảng thời gian dài và gây ra rất nhiều khó khăn trong quá ...
>> Xem ngay
Răng khấp khểnh là biểu hiện của răng mọc không đều, mọc không đúng vị trí lý tưởng trên cung hàm theo chiều trong ...
>> Xem ngayRăng khấp khểnh là biểu hiện của răng mọc không đều, mọc không đúng vị trí lý tưởng trên cung hàm theo chiều trong ...
>> Xem ngay
Mặt dán sứ Veneer IPS Emax là một trong những ứng cử viên sáng giá được người tiêu dùng yêu thích và các chuyên gia ...
>> Xem ngayMặt dán sứ Veneer IPS Emax là một trong những ứng cử viên sáng giá được người tiêu dùng yêu thích và các chuyên gia ...
>> Xem ngayMột nụ cười thiết kế chuẩn nhân tướng không chỉ khiến gương mặt trẻ trung, mà còn đem đến may mắn và những điều viên mãn, phú quý về sau.
Một nụ cười thiết kế chuẩn nhân tướng không chỉ khiến gương mặt trẻ trung, mà còn đem đến may mắn và những điều viên mãn, phú quý về sau.
X