Bọc răng sứ khểnh có làm tổn thương tủy răng không? Nên niềng răng hay bọc sứ?
Bọc răng sứ khểnh là giải pháp được nhiều người lựa chọn để nhanh chóng khắc phục tình trạng răng khểnh lệch, hô nhẹ hoặc răng nanh mọc chìa. Tuy nhiên, một trong những nỗi lo lớn nhất của nhiều người là "Bọc răng sứ khểnh có làm tổn thương tủy răng không? Có an toàn không?". Bài viết này từ Nha khoa Dentos sẽ đi thẳng vào vấn đề an toàn, phân tích các rủi ro, so sánh các phương pháp chỉnh răng khểnh và chỉ rõ cách chúng tôi đảm bảo sự bảo tồn tuyệt đối cho răng thật của bạn.
1. Bọc răng sứ khểnh có làm tổn thương tủy răng không?
Răng khểnh thường mọc lệch. Nếu bác sĩ thiếu kinh nghiệm mài đi quá nhiều mô răng có thể dẫn đến việc xâm lấn sâu và ngà răng khi bọc răng sứ. Thậm chí, việc mài răng có thể chạm vào buồng tủy. Đây chính là nguyên nhân trực tiếp gây ê buốt kéo dài, viêm tủy, hoặc chết tủy răng vĩnh viễn.

Để loại bỏ rủi ro trên và đảm bảo an toàn tuyệt đối, Nha khoa Dentos luôn tuân thủ quy tắc mài răng sứ an toàn. Tỷ lệ mài răng phải nằm trong giới hạn từ 0.3 - 1 mm ở các vị trí tiếp xúc bên ngoài. Một bác sĩ chuyên khoa với kinh nghiệm dày dặn sẽ chỉ mài đủ để tạo không gian cho mão sứ, tuyệt đối không được xâm lấn ngà răng quá mức hoặc chạm vào tủy răng.
2. Nên chỉnh răng khểnh bằng bọc sứ hay niềng răng?
Việc lựa chọn phương pháp chỉnh răng khểnh là rất quan trọng. Quá trình chỉnh răng phải tuân thủ nghiêm ngặt triết lý "Bảo tồn tối đa răng thật":
| Tiêu Chí | Niềng Răng (Chỉnh Nha) | Bọc Răng Sứ Khểnh |
|---|---|---|
| Tình Trạng Răng | Răng lệch, hô, chen chúc nhiều, cần thay đổi khớp cắn. | Răng chỉ lệch, hô nhẹ; cần chỉnh hình thể răng và màu sắc nhanh chóng. |
| Mức Độ Xâm Lấn | Không xâm lấn, bảo tồn 100% răng thật. | Có xâm lấn, cần mài một lớp men răng bên ngoài. |
| Thời Gian | Dài (1.5 - 2 năm). | Nhanh (chỉ 3-7 ngày). |
| Lời Khuyên | Niềng răng là giải pháp y khoa tối ưu nhất cho các sai lệch nặng vì nó giúp đưa răng về đúng vị trí sinh lý mà không cần mài răng. | Bọc răng sứ khểnh chỉ nên là lựa chọn khi răng lệch nhẹ và bạn cần kết quả răng sứ thẩm mỹ tức thì. |

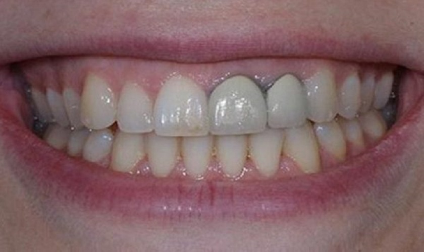
3. Nha khoa Dentos đảm bảo an toàn khi bọc răng sứ khểnh
Để loại bỏ hoàn toàn rủi ro tổn thương tủy khi bọc răng sứ khểnh, Nha khoa Dentos áp dụng hệ thống kiểm soát chất lượng nghiêm ngặt:
-
Công nghệ CT Cone Beam 3D: Bác sĩ sử dụng phim CT Cone Beam 3D để xác định chính xác vị trí buồng tủy trước khi mài, đảm bảo không xâm lấn vào buồng tủy.
-
Đội ngũ Bác sĩ Chuyên khoa II: Các bác sĩ có chuyên môn cao đảm bảo mài răng theo tỷ lệ chuẩn và hệ thống làm mát hiệu quả giúp giảm thiểu tối đa tổn thường từ nhiệt và sang chấn lên tủy răng.
-
Công nghệ CAD/CAM: Sau khi mài răng và bọc răng sứ, hệ thống CAD/CAM hiện đại chế tác mão sứ khít sát hoàn hảo.
![]()
Giải đáp các rủi ro khi bọc sứ:
-
Rủi ro ê buốt: Bạn sẽ chỉ ê buốt nhẹ tạm thời do nướu vì cảm giác ê buốt kéo dài đã được loại bỏ nhờ kỹ thuật mài răng bảo tồn.
-
Ảnh hưởng đến khớp cắn: Tại Dentos, máy T-Scan được sử dụng kiểm tra khớp cắn cân bằng. Do đó, các răng sứ được bọc khít sát không gây ảnh hưởng tiêu cực đến răng xung quanh hay lệch khớp cắn.
Bọc răng sứ khểnh tại Dentos là lựa chọn an toàn. Bạn hoàn toàn có thể yên tâm về việc bảo tồn tối đa răng thật và sở hữu nụ cười đẹp tự nhiên với vật liệu sứ chính hãng. Dentos có các dòng răng sứ thẩm mỹ toàn sứ cao cấp như răng sứ Orodent, răng sứ Cercon HT, răng sứ HT Smile,.... Bên cạnh đó, Dentos tự hào là TOP 1 Nha khoa có sản lượng răng sứ Orodent và Cercon chính hãng lớn nhất Việt Nam. Đây chính là minh chứng cho quy trình và chất lượng vật liệu sứ cao cấp tại Dentos.
Hãy liên hệ ngay HOTLINE 0935 666 639 để được các chuyên gia tư vấn miễn phí về chỉnh răng khểnh bằng giải pháp phù hợp nhất!
Xem thêm:


