Có nên làm răng sứ không? Những rủi ro nào có thể gặp phải?
“Có nên làm răng sứ không?” - Đây chắc hẳn là câu hỏi được nhiều người đặt ra khi tiếp cận phương pháp phục hình hiện đại này. Phần lớn vì lo ngại việc can thiệp đến răng thật sẽ không tốt, vừa mất tiền trong khi răng không còn khỏe như ban đầu, ảnh hưởng ăn nhai. Một số người thì sợ đau khi dụng cụ nha khoa tác động lên răng và còn nhiều lý do khác.
Trong bài viết dưới đây, Dentos sẽ giúp bạn biết được có nên làm răng sứ hay không, và liệu sẽ có những rủi ro gì khi bọc sứ, nguyên nhân là do đâu.
1. Có nên làm răng sứ không?
Đầu tiên, đối với thắc mắc có nên làm răng sứ không, bạn cần biết rằng bọc sứ là một kỹ thuật nha khoa tiên tiến được tiến hành bởi đội ngũ nha sĩ giàu kinh nghiệm, cùng sự hỗ trợ của trang thiết bị hiện đại. Do đó, quá trình thực hiện diễn ra nhanh chóng, hạn chế tối đa cảm giác ê buốt bằng thuốc gây tê, gây mê. Ngoài ra, việc làm răng sứ còn mang đến nhiều lợi ích cho bạn như:
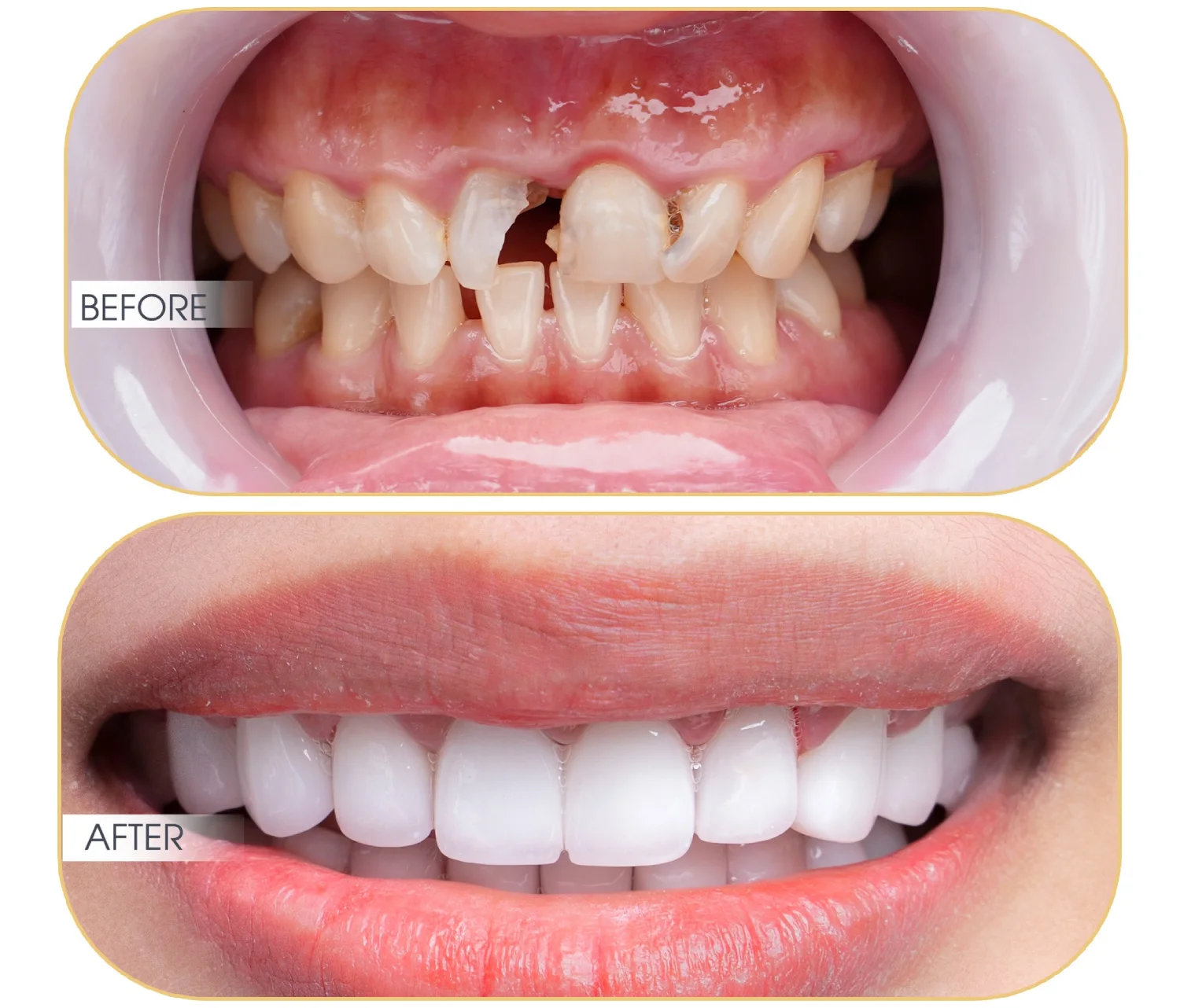
- Cải thiện vẻ đẹp cho hàm răng, khuôn mặt: Mão sứ bao phủ lên chân răng giúp che đi những khuyết điểm như răng nhiễm màu; răng sứt mẻ, hô, móm, khấp khểnh do dáng răng… đem lại cho bạn hàm răng trắng sáng, đều đặn và nụ cười tự tin.

- Độ bền cao: Có khả năng chịu lực và chịu nhiệt tốt, đảm bảo chức năng ăn nhai, không cần phải kiêng cữ nhiều. Răng sứ toàn phần có độ bền từ 15 - 20 năm hoặc có thể lâu hơn nữa nếu được chăm sóc tốt.
- Lành tính: Răng toàn sứ không bao gồm thành phần kim loại nào nên không bị oxi hóa, không gây đen viền lợi hay kích ứng nướu.
- Bảo vệ chân răng thật: Răng bị sâu nặng, răng điều trị tủy cần phải được điều trị triệt để, sau đó bọc mão sứ lên để ngăn ngừa vi khuẩn và các mảng bám tấn công.
- Cải thiện giọng nói: Răng vỡ mẻ có thể khiến giọng nói phát ra bị biến đổi, răng sứ sau khi phục hồi lại hình dáng của răng thật sẽ giúp giọng nói trở về bình thường.
2. Những rủi ro gây e ngại khi quyết định có nên làm răng sứ không
Bên cạnh lợi ích khi bọc sứ, còn có nhiều rủi ro khiến không ít người e ngại trước quyết định có nên làm răng sứ hay không, điển hình như:
- Đau nhức kéo dài: Mài răng quá nhiều, vi phạm đến khoảng sinh học của răng khiến vi khuẩn dễ phát triển gây viêm xương hàm, viêm lợi…

- Hôi miệng: Răng sứ thiếu độ khít sát, sinh ra khe hở giữa mão sứ và răng thật, tạo điều kiện cho vi khuẩn, thức ăn thừa dễ bám vào khiến việc vệ sinh khó khăn, lâu dần tạo ra mùi hôi khó chịu.
- Viêm nướu, tụt lợi: Răng sứ có nguồn gốc không đảm bảo làm cho nướu bị viêm, biểu hiện là tình trạng sưng đỏ, đau nhức, không săn chắc, có mùi hôi. Nếu để lâu không điều trị dứt điểm, kết hợp với việc vệ sinh răng miệng không đúng cách sẽ gây tụt lợi.
- Lệch khớp cắn: Thao tác gắn răng sứ chưa chuẩn xác làm răng bị vênh, khớp cắn lệch khiến việc ăn nhai khó khăn.
- Răng sứ nứt, vỡ: Răng sứ kém chất lượng trong thời gian ngắn sẽ bị xỉn màu, nứt, vỡ khiến chân răng không được bảo vệ tốt, dẫn đến viêm hoặc thậm chí là lung lay, phải nhổ bỏ.
Từ những vấn đề nếu trên, chúng ta có thể đúc kết ra 4 nguyên nhân chính sau:
- Nha sĩ thiếu chuyên môn, thực hiện sai kỹ thuật
- Chất liệu sứ không rõ nguồn gốc
- Công nghệ sử dụng lạc hậu
- Chăm sóc sau bọc sứ sai cách
Chính vì vậy, việc lựa chọn đơn vị nha khoa uy tín là rất quan trọng để bạn tránh khỏi những rủi ro không mong muốn. Khi băn khoăn có nên bọc răng sứ không, bạn đừng ngần ngại mà hãy đến với nha khoa thẩm mỹ Dentos để trải nghiệm quá trình bọc sứ nhanh chóng, an toàn để kiến tạo nên nụ cười trọn đời dành cho bạn. Đồng thời, sau khi phục hình, bạn sẽ được các chuyên gia từ Dentos hướng dẫn cách chăm sóc răng sứ cũng như theo dõi & khắc phục vấn đề nếu có qua quá trình tái khám định kỳ.

Đến ngay nha khoa Dentos để được tư vấn và tìm ra liệu trình bọc răng sứ Orodent, Cercon ht, Lava Esthetic… phù hợp nhất dành cho bạn!
Xem thêm:


