Răng HT Smile là gì? Gồm mấy loại? Có đắt không?
Khi cân nhắc đến việc thực hiện bọc răng sứ thẩm mỹ, bên cạnh việc xem xét các yếu tố về thời gian, chi phí, tình trạng sức khỏe của bản thân hay địa chỉ nha khoa uy tín… thì loại răng sứ nên bọc cũng là vấn đề mà nhiều khách hàng quan tâm. Trong quá trình tìm hiểu, bạn đã nghe về răng HT Smile chưa? Liệu bạn có biết đây là loại răng sứ gì, ở đâu, có tốt không và giá thế nào? Hãy cùng nha khoa Dentos khám phá chi tiết về răng sứ HT Smile ngay sau đây nhé!
1. Răng HT Smile là gì? Có tốt không?
Răng HT Smile là sản phẩm răng sứ toàn phần nổi tiếng của tập đoàn H.C.Starck (CHLB Đức), một trong những thương hiệu sản xuất vật liệu nha khoa thuộc TOP thế giới. Nhờ đó nên cho đến nay, răng HT Smile đã xuất sắc có được sự công nhận từ các chứng chỉ quốc tế về chất lượng, điển hình như: DIN EN ISO 9001, DIN EN ISO 14001 và DIN EN ISO 13485.

Với nguồn gốc xuất xứ uy tín, răng sứ HT Smile mang theo nhiều ưu điểm nổi bật, được các nha sĩ khuyên dùng:
- Răng HT Smile có độ thấu quang tốt, kết hợp độ trong suốt đến 45% cho vẻ thẩm mỹ tự nhiên như răng thật.
- Độ khít sát đứng đầu trong các dòng sứ zirconia với khoảng hở vi kẽ nhỏ (chỉ 25µm).
- Độ dày thành phục hồi ≈ 0,25mm giúp bảo tồn chân răng tối đa.
- Chỉ số chịu lực ở mức 1400 Mpa, răng sứ HT Smile cứng gần gấp 7 lần răng tự nhiên giúp người bọc thoải mái ăn nhai.
- Răng HT Smile có thành phần gồm 100% sứ cao cấp nên rất lành tính, an toàn cho sức khỏe người dùng, không gây kích ứng trong khoang miệng.
- Răng sứ HT Smile được thiết kế và chế tác hoàn toàn tự động bằng công nghệ Smile Design 3D cùng hệ thống CAM/CAD tiên tiến, từ đó có độ tương thích tuyệt đối với cùi răng.
2. Răng HT Smile gồm mấy loại? Có đắt không?
Hiện nay, hãng H.C. Starck cung cấp duy nhất một loại răng sứ HT Smile với thông số như sau:
- Độ cứng: 1400 Mpa
- Độ đàn hồi: 700 Mpa
- Hiệu ứng màu: Trắng trong, đa lớp, đa sắc độ
- Bảo hành tại nha khoa Dentos: Trọn đời

Về giá cả, tùy thuộc vào nhu cầu và khả năng tài chính của mỗi người để có thể răng sứ HT Smile có đắt không. Trên thực tế, giá răng HT Smile tất nhiên sẽ cao hơn răng sứ kim loại, nhưng đổi lại là những ưu điểm vượt vội về vẻ đẹp lẫn độ bền và độ an toàn. Giá răng sứ HT Smile hiện nay tại nha khoa Dentos là 8.000.000đ/răng. Mức giá này chưa bao gồm chương trình khuyến mãi mới nhất từ Dentos, bạn vui lòng liên hệ với chúng tôi để nhận được ưu đãi về giá và quà tặng cực kỳ hấp dẫn.
3. Các trường hợp chỉ định dành cho răng sứ HT Smile
Răng HT Smile được khuyên dùng cho những trường hợp sau:
- Bọc răng sứ HT Smile cho răng sâu lớn, răng điều trị tủy: Giúp bao bọc lấy phần chân răng chưa bị hư tổn và cải thiện chức năng nhai.
- Bọc răng sứ HT Smile cho răng nhiễm màu nặng: Giúp bạn sở hữu hàm răng trắng sáng, đều màu.
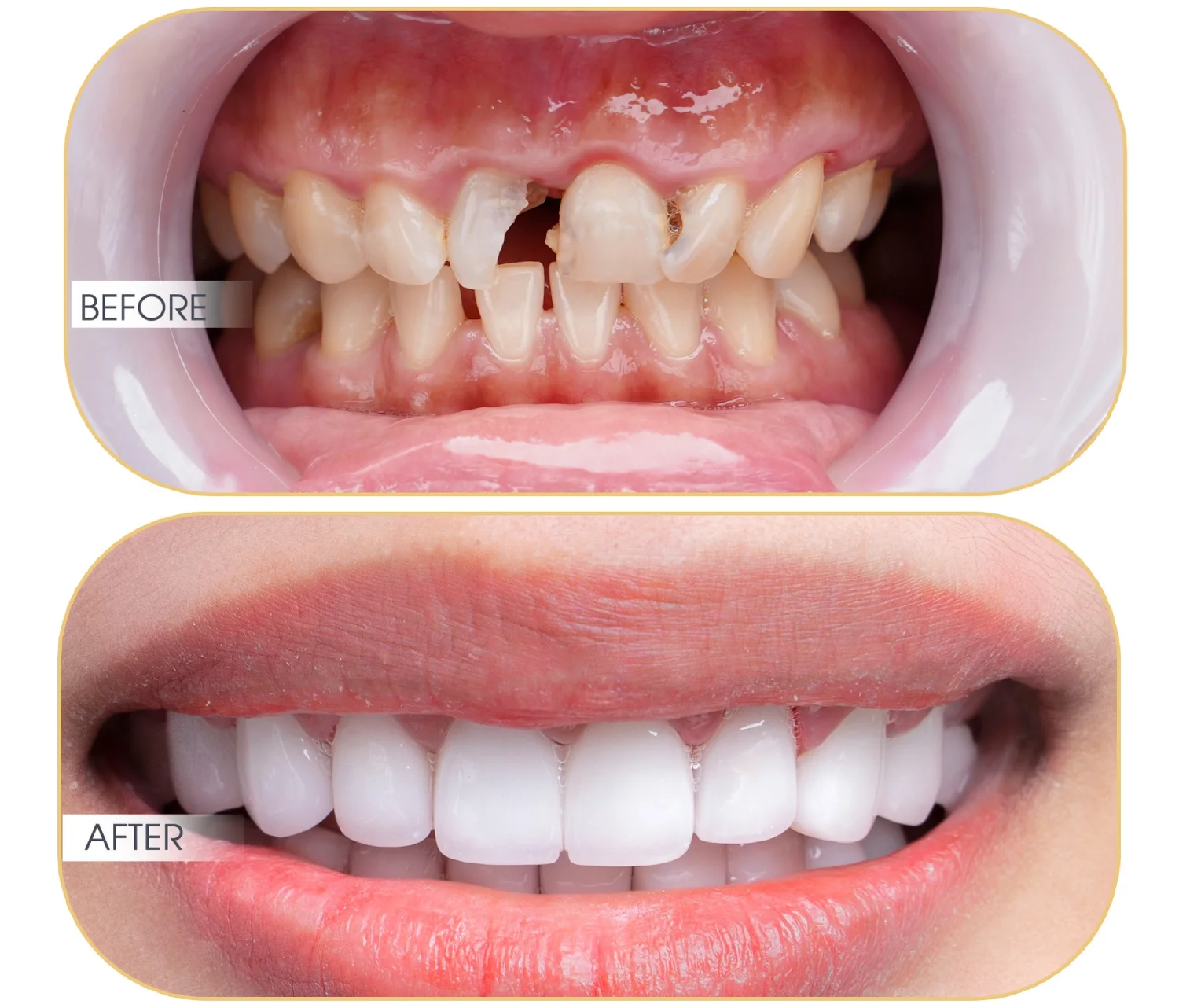
- Bọc răng sứ HT Smile cho dáng răng có khiếm khuyết: Cải thiện vẻ đẹp của răng thưa, hở kẽ, hô, móm, khấp khểnh, sứt mẻ… đem lại nụ cười tự tin với dáng răng chuẩn nhân tướng học.
- Bọc răng sứ HT Smile cho răng sứ cũ đã hỏng: Khôi phục lại vẻ thẩm mỹ cho hàm răng và bảo vệ nướu khỏi kích ứng.

4. Nên bọc răng sứ HT Smile ở đâu an toàn và chất lượng?
Được bình chọn là TOP 1 nha khoa tiêu thụ sứ chính hãng lớn nhất Việt Nam, và nhận được sự tin tưởng của hơn 30.000 khách hàng, thành công thiết kế hơn 8.000 nụ cười đẹp mỗi năm, nha khoa Dentos chính là địa điểm đáng tin cậy để bạn lựa chọn bọc răng HT Smile. Hãy liên hệ với chúng tôi ngay hôm nay để được hỗ trợ và nhận ưu đãi cực hot!
Xem thêm:


