Răng mẻ lớn bọc răng sứ được không?
Răng bạn bị mẻ lớn vì tai nạn hay nhai đồ cứng, và bạn lo không thể khắc phục được? Đừng nghĩ đó là dấu chấm hết! Tại Nha khoa Dentos, chúng tôi thường gặp nhiều trường hợp băn khoăn rằng “Răng mẻ lớn có bọc răng sứ được không?”. Tin vui là bọc răng sứ hoàn toàn có thể cứu vãn nụ cười của bạn. Hôm nay, chúng tôi sẽ giải thích rõ để bạn yên tâm bước vào hành trình lấy lại vẻ đẹp và sức khỏe cho hàm răng.
1. Có những nguyên nhân nào khiến răng mẻ lớn?
Có rất nhiều lý do khiến răng của bạn bị mẻ, vỡ lớn. Dưới đây là một số nguyên nhân phổ biến nhất mà Dentos thường ghi nhận:
- Tai nạn không mong muốn: Một va chạm mạnh trong sinh hoạt hàng ngày, khi chơi thể thao, hoặc thậm chí một cú ngã có thể gây tổn thương lớn cho răng.

- Thói quen xấu gây hại: Bạn có thường xuyên dùng răng để cắn xé đồ ăn quá cứng, mở nắp chai, hoặc nghiến răng khi ngủ? Những thói quen này tưởng chừng vô hại nhưng lại là "kẻ thù" của men răng.
- Chế độ dinh dưỡng thiếu hụt: Canxi là nguồn sống của răng. Nếu cơ thể không được cung cấp đủ canxi, răng sẽ trở nên yếu và dễ bị tổn thương hơn dù là những tác động nhỏ.
- Vấn đề sức khỏe răng miệng và cơ thể: Các bệnh lý về răng như sâu răng nặng, viêm nha chu, hoặc thậm chí sự thay đổi hoocmon trong cơ thể cũng có thể khiến răng yếu, dễ nứt, mẻ hoặc men răng bị bào mòn.
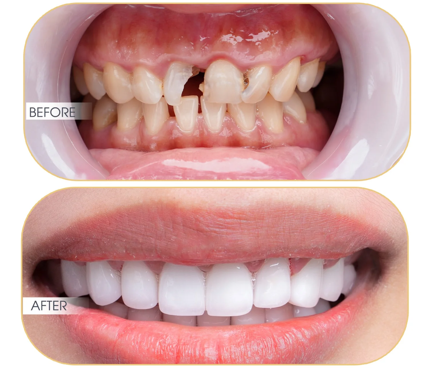
2. Răng mẻ lớn bọc răng sứ được không?
Đối với những trường hợp răng vỡ lớn, việc trám răng thường không mang lại hiệu quả lâu dài. Miếng trám có thể không đủ lớn để phục hồi toàn bộ hình dáng và chức năng của răng, dễ bị bong tróc, hoặc không đủ sức chịu lực khi ăn nhai, dẫn đến nguy cơ vỡ răng thêm.
Nhưng bạn đừng lo vì răng mẻ lớn hoàn toàn có thể khắc phục được nhờ phương pháp bọc răng sứ. Điều kiện duy nhất là cùi răng thật của bạn phải còn đủ khỏe để làm điểm tựa cho mão sứ. Tại Nha khoa Dentos, chúng tôi dùng máy chụp X-quang hiện đại để kiểm tra kỹ cùi răng, đảm bảo nó đủ chắc trước khi bọc răng sứ. Nếu cùi yếu do mẻ quá lớn, chúng tôi có thể phục hồi bằng vật liệu chuyên dụng để tạo nền tảng vững vàng.

Sứ toàn phần như Zirconia là loại tốt nhất cho trường hợp này. Không chỉ che phủ hoàn toàn phần mẻ, Zirconia còn mang lại độ bền vượt trội, chịu lực tốt, giúp bạn nhai thoải mái mà không lo gãy vỡ thêm. Màu sắc tự nhiên của sứ toàn phần cũng giống răng thật, không để lộ dấu vết nhân tạo. Quy trình bọc răng sứ tại Dentos rất đơn giản: kiểm tra, mài nhẹ cùi răng (0.6 - 2mm), rồi gắn mão sứ vừa khít. Chỉ 3 - 5 buổi là bạn đã có hàm răng như mới.
3. Lợi ích khi bọc răng sứ cho răng mẻ lớn
Bọc răng sứ cho răng mẻ lớn mang lại rất nhiều lợi ích, không chỉ về mặt thẩm mỹ mà còn về chức năng và sức khỏe răng miệng.
- Lấy lại vẻ đẹp thẩm mỹ với nụ cười trắng sáng, tự nhiên.
- Tăng sự tự tin trong giao tiếp.
- Cải thiện khả năng ăn nhai, giúp bạn thưởng thức các món ăn yêu thích.
- Bảo vệ cùi răng thật khỏi vi khuẩn và các tác động bên ngoài.
- Ngăn ngừa nguy cơ sâu răng và gãy vỡ trong tương lai.
- Sứ toàn phần có độ bền cao và không bị xuống màu theo thời gian.
4. Nha khoa Dentos - Địa chỉ bọc răng sứ uy tín và chất lượng
Để có được kết quả bọc răng sứ tốt nhất cho răng mẻ lớn, việc lựa chọn một nha khoa uy tín và chất lượng là vô cùng quan trọng. Nha khoa Dentos tự hào là địa chỉ tin cậy với những ưu điểm vượt trội trong dịch vụ bọc răng sứ:
- Đội ngũ bác sĩ chuyên môn cao: Các bác sĩ tại Dentos có kinh nghiệm dày dặn trong lĩnh vực phục hình răng sứ, được đào tạo bài bản và luôn cập nhật những kỹ thuật tiên tiến nhất về bọc răng sứ.

- Công nghệ hiện đại: Dentos trang bị hệ thống máy móc và công nghệ tiên tiến, bao gồm máy chụp X-quang CT Cone Beam hiện đại, phần mềm thiết kế răng sứ CAD/CAM, công nghệ thiết kế nụ cười DSD 3D giúp quá trình chẩn đoán và điều trị bọc răng sứ diễn ra chính xác - hiệu quả.
- Vật liệu sứ chính hãng: Chúng tôi cam kết sử dụng các loại răng sứ toàn phần cao cấp, chính hãng như Zirconia, Orodent, Cercon, HT Smile… cho dịch vụ bọc răng sứ, đảm bảo độ bền, tính thẩm mỹ và an toàn tuyệt đối cho sức khỏe của bạn.
- Quy trình điều trị chuẩn quốc tế: Mọi quy trình bọc răng sứ tại Dentos đều được thực hiện theo tiêu chuẩn nghiêm ngặt, đảm bảo vô trùng và an toàn cho khách hàng.
- Dịch vụ tận tâm: Chúng tôi luôn lắng nghe và thấu hiểu mong muốn của từng khách hàng khi bọc răng sứ, tư vấn và đưa ra giải pháp phù hợp nhất.
Tóm lại, răng mẻ lớn không phải là vấn đề nan giải – bọc răng sứ có thể phục hồi hoàn hảo, vừa đẹp vừa khỏe, miễn là cùi răng còn đủ. Đến với Nha khoa Dentos, bạn sẽ có nụ cười như ý mà không phải lo lắng. Răng mẻ lớn làm bạn ngại ngùng? Liên hệ Dentos ngay hôm nay được thăm khám và tư vấn hoàn toàn miễn phí!
Xem thêm:


