Khi nào nên bọc răng sứ lần 2? Quy trình thực hiện như thế nào?
Bọc răng sứ lần 2 là lựa chọn khá phổ biến của nhiều người khi răng sứ cũ không còn đảm bảo được tính thẩm mỹ, hay chức năng ăn nhai, nhưng bên cạnh đó cần phải có chỉ định của nha sĩ. Vậy cụ thể khi nào nên bọc răng sứ lần 2? Bọc có đau không? Quy trình thực hiện ra sao? Cùng nha khoa Dentos tìm hiểu ngay trong bài viết này nhé!
1. Khi nào nên bọc răng sứ lần 2?
Nhằm giúp tái tạo lại vẻ đẹp cho hàm răng, ngăn ngừa các bệnh lý về răng miệng cũng như phục hồi khả năng nhai, bạn thường sẽ được chỉ định bọc răng sứ lần 2 trong những trường hợp sau đây:
- Mão răng sứ đã đến thời hạn thay:
Mão răng sứ kim loại thường kéo dài được 7 - 10 năm, mão răng toàn sứ có thể duy trì 15 - 20 năm trên cung hàm hoặc hơn nếu bạn chăm sóc tốt. Sau khoảng thời gian này, răng sứ ít nhiều sẽ bị oxi hóa (mão răng sứ kim loại), dễ gây kích ứng, xuống màu… do tác động lâu dài từ các tác nhân như nước bọt, thức ăn…

- Người bệnh mắc bệnh lý về răng miệng:
Nếu như bạn thấy răng sứ gây hôi miệng, đau nhức, ê buốt kéo dài, tình trạng này có thể xuất phát từ các bệnh lý như viêm nướu, sâu cùi răng vì không được điều trị dứt điểm trong lần bọc răng sứ đầu tiên; hoặc răng sứ cộm, cấn, không khít với răng thật do kỹ thuật lắp & chế tác răng chưa chuẩn xác. Lúc này, bọc răng sứ lần 2 là điều cần thiết để giúp bạn loại bỏ những cảm giác khó chịu trên.
- Mão răng sứ bị nứt mẻ, ố vàng:
Nên bọc răng sứ lần 2 khi răng bị nứt, vỡ, mẻ do bạn ăn nhai đồ ăn quá cứng hoặc do va chạm mạnh nhằm đảm bảo tính thẩm mỹ, cũng như ngăn chặn vi khuẩn xâm nhập tấn công cùi răng. Ngoài ra, răng sứ bị xỉn màu, ố vàng cũng nên được thay mới lại.
- Nhu cầu nâng cấp lên dòng sứ mới:
Một trường hợp khác là khách hàng muốn bọc răng sứ lần 2 nhằm nâng cấp lên dòng sứ cao cấp hơn, hoặc thay đổi dáng răng, màu sắc phù hợp hơn.

2. Bọc răng sứ lần 2 có đau không?
Bọc răng sứ lần 2 thường không đau vì không cần mài thêm cùi răng, hoặc nếu có mài chỉnh thêm để đúng tỷ lệ, tạo độ bám cho mão sứ, nha sĩ cũng sẽ dùng thuốc tê để bạn không cảm thấy đau đớn. Tuy nhiên, điều kiện là bạn phải chọn nha khoa uy tín với đội ngũ nha sĩ giàu kinh nghiệm, cùng đầy đủ các trang thiết bị, công nghệ hỗ trợ nhằm đảm bảo độ chuẩn xác, hiệu quả cho quá trình bọc sứ.
Trong trường hợp răng đang có bệnh lý cần phải điều trị, thì răng của bạn có thể sẽ nhạy cảm hơn và gây ê nhẹ.
3. Quy trình bọc răng sứ lần 2 diễn ra như thế nào?
Quy trình bọc răng sứ lần 2 diễn ra trong 5 bước chính sau:
Bước 1 - Thăm khám tổng quát, chụp phim CT Cone Beam & tư vấn phác đồ điều trị.
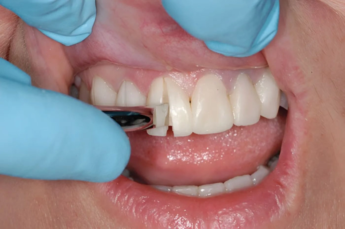
Bước 2 - Nha sĩ tháo răng sứ cũ bằng dụng cụ nha khoa chuyên dụng, sau đó vệ sinh răng miệng và điều trị bệnh lý (nếu có).

Bước 3 - Nha sĩ sẽ xem xét có cần mài răng hay không, thường việc này sẽ được hạn chế tối đa nhằm tránh ảnh hưởng đến cùi răng.
Tiếp đến, nha sĩ thực hiện lấy dấu răng, gửi mẫu về cho phòng labo để thiết kế răng sứ mới. Trong thời gian chờ, bệnh nhân sẽ được gắn mão răng tạm để bảo vệ cùi răng.
Bước 4 - Gắn thử răng sứ để kiểm tra tính thẩm mỹ, độ khít sát, khớp cắn. Nếu không có vấn đề gì, nha sĩ sẽ cố định mão sứ lên cùi răng bằng keo dán chuyên dụng và hướng dẫn bệnh nhân cách chăm sóc răng sứ tại nhà, hẹn lịch tái khám.
Bước 5 - Bệnh nhân tái khám định kỳ theo lịch hẹn để nha sĩ kiểm tra và đưa ra biện pháp xử lý kịp thời các vấn đề phát sinh, giúp duy trì độ bền cho răng sứ.
Hy vọng những thông tin từ bài viết trên đây đã giúp bạn nắm được khi nào nên bọc răng sứ lần 2, cũng như quy trình thực hiện phục hình. Và nếu bạn đang tìm kiếm địa chỉ bọc răng sứ lần 2 uy tín, chất lượng, hãy đến với nha khoa Dentos ngay hôm nay để được tư vấn và thăm khám hoàn toàn miễn phí!
Chia sẻ của Mym Trần về trải nghiệm làm răng sứ tại nha khoa Dentos
Với 3 chi nhánh tại TP.HCM, nha khoa Dentos đã có nhiều năm kinh nghiệm trong lĩnh vực cùng danh hiệu TOP 1 nha khoa có sản lượng tiêu thụ răng sứ Orodent và Cercon chính hãng tại Việt Nam. Song song với đó, chúng tôi luôn chú trọng đầu tư hệ thống trang thiết bị tối tân, cũng như trình độ của nha sĩ để mang đến trải nghiệm hài lòng nhất cho khách hàng với chi phí hợp lý.
Xem thêm:


