Tháo răng sứ có đau không? Khi nào nên tháo răng sứ ra làm lại?
Bọc răng sứ là một phương pháp làm đẹp nhanh chóng và hiệu quả giúp người sử dụng sở hữu nụ cười rạng ngời và khỏe mạnh. Tuy nhiên, vì một vài lý do như: răng cối bị lung lay, bóng lật, viêm nhiễm… phải tháo răng sứ khiến nhiều người thắc mắc tháo răng sứ có đau không, khi nào thì nên tháo ra làm lại? Để giúp bạn hiểu rõ hơn, hãy cùng Dentos tham khảo bài viết dưới đây nhé!
1. Tháo răng sứ có đau không?
Với câu hỏi tháo răng sứ có đau không, Dentos khẳng định tháo răng sứ sẽ không đau nếu nha sĩ thực hiện có tay nghề cao và có sự hỗ trợ của các trang thiết bị hiện đại để không làm tổn thương tới các mô răng bên cạnh. Đặc biệt, người bệnh có thể được tiêm thuốc tê hoặc thuốc giảm đau để ổn định tâm lý, cũng như an tâm khi tháo răng sứ.

2. Khi nào nên tháo răng sứ ra làm lại?
Bạn nên tháo răng sứ ra làm lại đối với các trường hợp sau đây:
- Đau nhức kéo dài: Nguyên nhân có thể do răng mài không đúng tỉ lệ, dẫn đến đau nhức, thậm chí là viêm tuỷ.
- Viêm lợi, hôi miệng: Răng sứ chế tác không đúng kích thước, không khít sát sẽ tạo ra kẽ hở, từ đó tạo cơ hội cho vi khuẩn xâm nhập và gây tổn thương cho cùi răng thật và gây ra các bệnh lý như viêm lợi, viêm nha chu, sâu răng, hôi miệng… Để khắc phục tình trạng này, bạn phải tháo răng sứ cũ ra và làm răng mới.
- Dị ứng với răng sứ: Trường hợp này khá ít xảy ra, chủ yếu đến từ người dùng sở hữu răng sứ kim loại. Cách khắc phục duy nhất đó chính là tìm loại răng toàn sứ phù hợp hơn.
- Đen viền nướu: Trường hợp này cũng xảy ra do quá trình sử dụng răng sứ kim loại bị oxi hoá trong môi trường khoang miệng. Để cải thiện tính thẩm mỹ của răng, bạn có thể tháo ra và làm lại.
- Răng sứ bị xỉn màu: Răng sứ kém chất lượng có thể gây ra tình trạng xỉn màu sau một thời gian sử dụng.
- Răng sứ bị vỡ, hở, cong vênh: Nha sĩ có tay nghề chưa cao sẽ dễ xảy ra sai sót trong quá trình mài cùi, lấy dấu hàm… khiến bạn gặp các vấn đề về hình dáng của răng như hở, cong vênh… khi đó, bạn bắt buộc phải tháo mão sứ cũ ra và điều chỉnh lại.

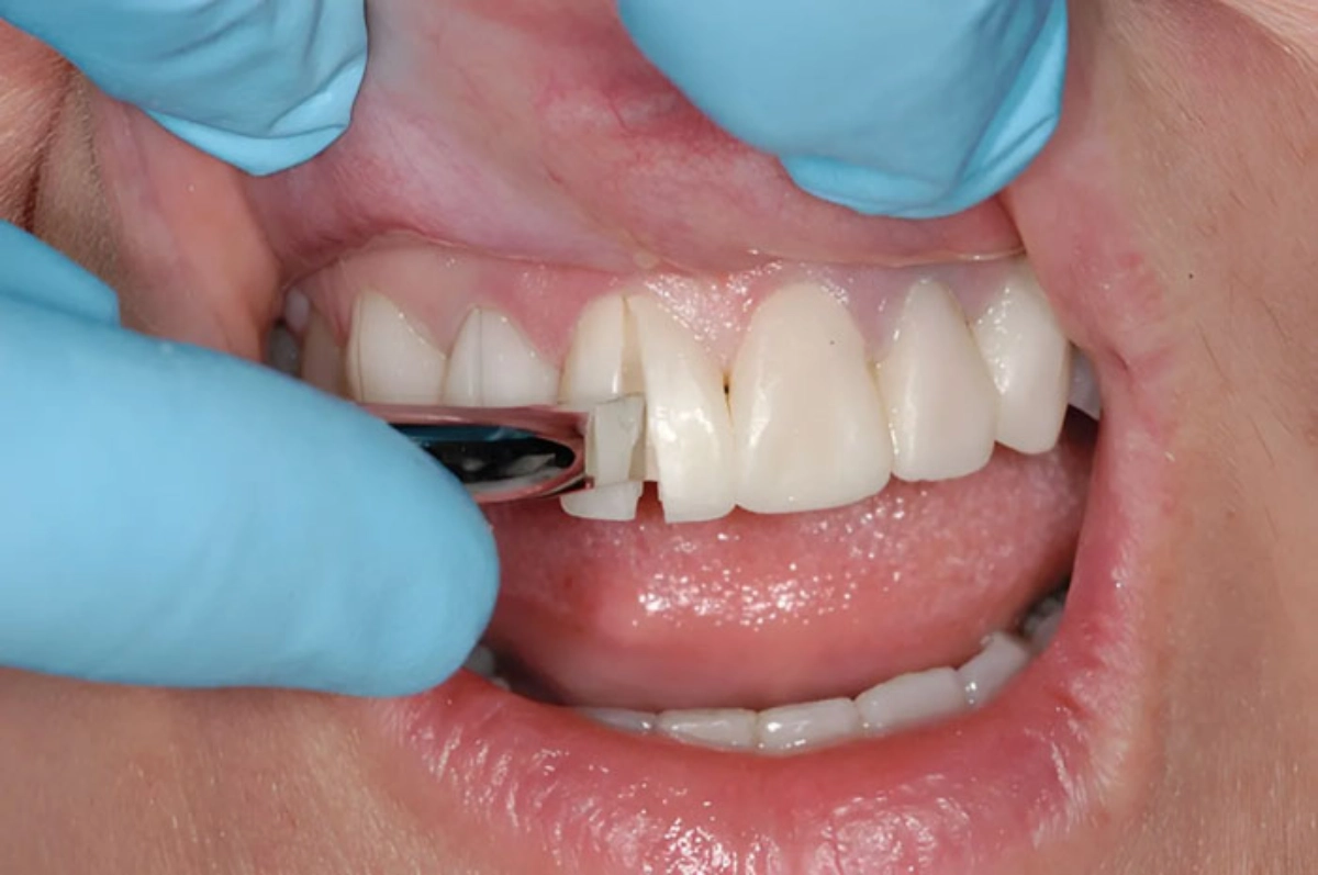
3. Quy trình tháo răng sứ diễn ra như thế nào?
Quá trình tháo răng sứ được thực hiện bởi nha sĩ chuyên nghiệp bao gồm 4 bước sau:
Bước 1: Nha sĩ sẽ kiểm tra tình trạng răng sứ của bạn và đánh giá cần thiết hay không để tháo răng sứ. Trong trường hợp xác định cần tháo, nha sĩ sẽ tiến hành vệ sinh răng miệng để vô khuẩn và gây tê cho bệnh nhân.
Bước 2: Nha sĩ tiến hành tháo răng sứ theo 2 cách sau
Cách 1: Chia mão sứ thành nhiều phần nhỏ và tiến hành tháo từng phần theo trình tự nhất định.

Cách 2: Mài nhỏ xung quanh phần mão sứ theo chiều dọc cho tới khi lộ lớp sườn của mão sứ thì tiến hành tháo gỡ mão sứ.
Bước 3: Trong trường hợp bạn muốn chế tác răng sứ mới, nha sĩ sẽ tiến hành lấy lại dấu răng sau khi đã tách phần mão sứ với cùi răng thật để thực hiện chế tác răng sứ mới.
Bước 4: Nha sĩ gắn lại mão sứ hoàn chỉnh cho bệnh nhân nhằm khôi phục chức năng của răng.
Quy trình tháo răng sứ có đau không phụ thuộc phần lớn vào tay nghề của nha sĩ, do đó, bạn nên tìm kiếm các địa chỉ nha khoa uy tín để có thể thực hiện tháo răng một cách nhẹ nhàng, nhanh chóng.
Nếu bạn đang tìm kiếm một địa chỉ nha khoa uy tín tại TP.HCM để đảm bảo hiệu quả trong quá trình tháo răng sứ thẩm mỹ, hãy đến Dentos ngay hôm nay để sở hữu nụ cười khỏe mạnh và rạng rỡ. Dentos là TOP 1 Nha khoa có sản lượng tiêu thụ răng sứ chính hãng được bình chọn bởi Dentsply Sirona - Tập đoàn SX và cung ứng giải pháp nha khoa lớn nhất Thế giới & Orodent - Thương hiệu răng sứ an toàn nhất Thế giới

Với 3 chi nhánh trên khắp TP.HCM, Dentos đã thành công kiến tạo 8000+ nụ cười mỗi năm với các sản phẩm răng sứ Zirconia đa dạng như răng sứ Orodent, Lava Esthetic, Cercon… cùng mức giá phải chăng, dịch vụ hậu mãi hoàn hảo… Dentos hứa hẹn là điểm đến tin cậy cho hàng triệu nụ cười Việt.
Xem thêm:


